In the United States, less than 0.1% of Americans are affected by corneal dystrophies.1 Despite this rarity, it is essential to accurately diagnose these conditions to gain prognostic insight and, if indicated, initiate vision-saving management. Genetic testing for corneal dystrophies facilitates diagnosis, due to current diagnostic challenges and the inherent genetics of most corneal dystrophies. (See “Corneal Dystrophies and Associated Gene Mutations and Inheritance Patterns,” below.)
Here, we discuss these items and where corneal specialists can acquire genetic testing for their corneal dystrophy patients.
Current Diagnostic Challenges
• Differentiation. The differentiation between a corneal dystrophy and other inherited corneal depositions and degenerations can be difficult.
For example, congenital corneal clouding can be caused by a corneal dystrophy (congenital hereditary endothelial dystrophy 1 or congenital hereditary endothelial dystrophy 2), a non-genetic disorder (e.g., birth trauma), or a genetic disorder that is not a dystrophy (mucopolysaccharidosis, Peter’s anomaly).
• Inexperience/atypical manifestations. Today, the diagnosis of corneal dystrophy is primarily based on clinical examination and a careful slit lamp examination. Additionally, specular microscopy and confocal microscopy are helpful tools to aid in the diagnosis.
While the International Committee for Classification of Corneal Dystrophies (IC3D) defines and provides examples of the exam findings for each dystrophy, unfamiliarity with the findings — some of the corneal dystrophies are exceptionally rare — and atypical clinical manifestations continue to be hurdles to diagnostic accuracy.
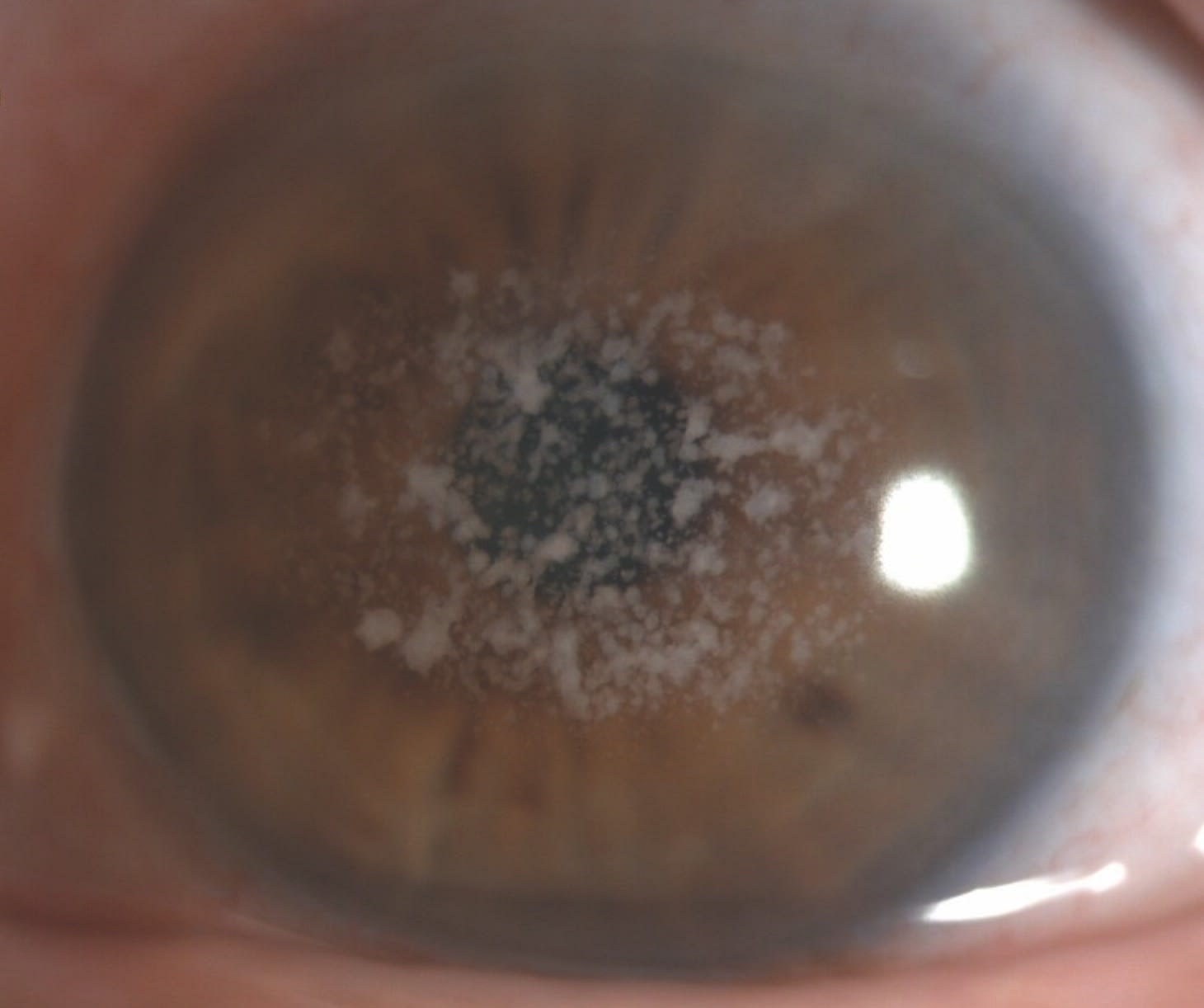
For instance, lattice corneal dystrophy type 1, which has a mutation in the TGFB1 gene, can appear similar to lattice corneal dystrophy, gelosin type, which has a mutation on the gelosin gene. Lattice corneal dystrophy, gelosin type, also known as Meretoja syndrome, is not a true corneal dystrophy, according to the IC3D, but is included in the IC3D because of its clinical similarity to true lattice dystrophy. An accurate diagnosis is important here because Meretoja syndrome is associated with systemic amyloidosis, which can lead to cranial neuropathies.
Another example: Paraproteinemic keratopathy can present similarly to granular or lattice dystrophy. Paraproteinemic keratopathy is a paraneoplastic disease in which patients with systemic gammopathy, most commonly multiple myeloma, Waldenström’s macroglobulinemia, and monoclonal gammopathy of unknown significance, have corneal deposition of immunoglobulins.2
• Limitations of current tools. Tools, such as electron microscopy and immunohistochemistry, can be confirmatory, but their results are difficult to interpret, and they are not widely accessible outside of research institutions.
• Unawareness of family history. Patients may fall short in knowing their family members’ medical conditions. This lack of knowledge muddies the diagnostic waters, while also placing these patients who have not yet exhibited clinical signs of a hereditary corneal dystrophy at risk for poor outcomes, should they have no clinical signs of a corneal dystrophy, though decide to pursue laser vision corrective surgery (LVC).
LVC can exacerbate the progression of stromal dystrophies, and thinning of the cornea can limit future options for PTK. What’s more, patients pursuing LVC can be in their early 20s to 30s, which are around the ages of onset for granular dystrophy type 2 and Schnyder corneal dystrophy.
Inherent Genetics
The genetics of most corneal dystrophies are monogenic, meaning a single gene mutation is the cause of the disease, making corneal dystrophies an ideal target for genetic testing.
Mutations in any of these genes can affect transcription factors or ion transporters, prompting downstream effects in different corneal layers, leading to a spectrum of clinical manifestations, such as epithelial breakdown or stromal edema.
Acquiring Genetic Testing
Tests are available for either single-mutation evaluation, such as TGFB1 or UBIAD1, and for panels targeting multiple dystrophies.
Corneal specialists can order these tests directly from the producer, found through the Genetic Testing Registry at bit.ly/GeneticTestingRegistry. Patients can provide either blood or a buccal swab to be sent to a producer.
The American Academy of Ophthalmology recommends using Clinical Laboratories Improvement Amendments-approved laboratories for all genetic testing.
Heed the Need
When the diagnosis of corneal dystrophy cannot be made clinically, or there is suspicion of an alternative diagnosis, genetic testing is a valuable tool. Research in the field of gene therapy for corneal disorders is still at an early stage, primarily in animal models, with limited human studies. That said, should gene therapy become a viable treatment for inherited corneal diseases, we believe genetic testing will become much more widespread, as current treatments, such as PTK, or keratoplasty, have limitations. CP
References
1. Musch DC, Niziol LM, Stein JD, Kamyar RM, Sugar A. Prevalence of corneal dystrophies in the United States: estimates from claims data. Invest Ophthalmol Vis Sci. 2011;52(9):6959-6963. doi: 10.1167/iovs.11-7771.
2. Moshirfar M, West W, Ronquillo Y. Paraproteinemic keratopathy. In: StatPearls. StatPearls Publishing; 2023. Accessed February 5, 2024. https://www.ncbi.nlm.nih.gov/books/NBK560482/.
3. Weiss JS, Møller HU, Aldave AJ, et al. IC3D classification of corneal dystrophies—edition 2. Cornea. 2015;34(2):117-159. doi: 10.1097/ICO.0000000000000307.







